|
种属 |
人 |
|
别称 |
EJ1 |
|
组织来源 |
膀胱 |
|
疾病 |
膀胱癌 |
|
传代比例/细胞消化 |
1:2传代,消化1-2分钟 |
|
完全培养基配置 |
MEM培养基;10%胎牛血清;1%双抗 |
|
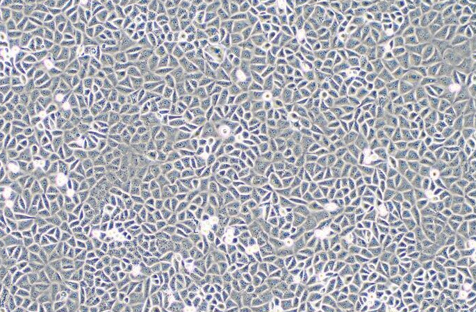
形态 |
上皮细胞样 |
|
生长特征 |
贴壁生长 |
|
倍增时间 |
~20-48h |
|
STR |
Amelogenin X CSF1PO 10,12 D5S818 10,12 D7S820 10,11 D8S1179 14 D13S317 12 D16S539 9 D18S51 16,18 D21S11 29 FGA 17,22 TH01 6 TPOX 8,11 vWA 17 |
|
培养条件 |
气相:空气,95%;二氧化碳,5%。 温度:37摄氏度,培养箱湿度为70%-80%。 |
|
冻存条件 |
冻存液:90%FBS,DMSO 10%, 或使用非程序冻存液:官网货号JY-H040 |
|
产品使用 |
仅限于科学研究,不可作为动物或人类疾病的治疗产品使用。 |
