|
种属 |
人 |
|
别称 |
CFPac-1; CF PAC-1; CF-PAC1; CF-Pac1; CF Pac1; CFPAC1; CFPac1; CFPAC |
|
组织来源 |
源自转移部位:肝脏 |
|
疾病 |
胰腺导管腺癌,囊性纤维化 |
|
传代比例/细胞消化 |
1:2传代,消化2-3分钟 |
|
完全培养基配置 |
IMDM培养基;10%胎牛血清;1%双抗 |
|
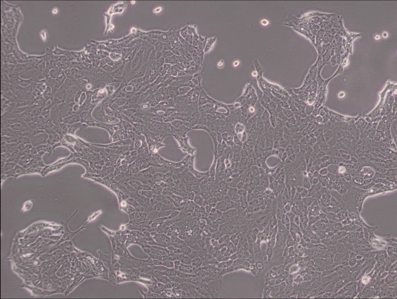
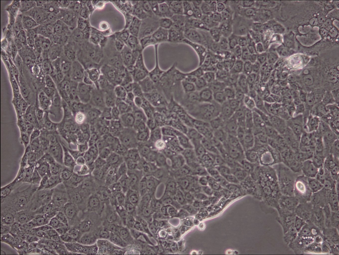
简介 |
CFPAC-1是胰腺管腺癌细胞系,建自26岁白人男性囊性纤维变性(CF)的肝转移灶。 该细胞系表达囊性纤维变性跨膜调节因子(CFTR)。 形态为上皮样且顶端微绒毛极化。该细胞表达胰腺管细胞特征性的细胞角蛋白和癌胚抗原。倍增时间为30-32小时。 它是亚3倍体的细胞系,36%的细胞的染色体模式数为75。 该细胞传代至24代时在无胸腺小鼠中致瘤 |
|
形态 |
上皮细胞样 |
|
生长特征 |
贴壁生长 |
|
倍增时间 |
~30-45h |
|
STR |
Amelogenin: X,Y CSF1PO: 10 D13S317: 12 D16S539: 9,11 D5S818: 10,11 D7S820: 8,10 TH01: 8 TPOX: 8 vWA: 17 |
|
培养条件 |
气相:空气,95%;二氧化碳,5%。 温度:37摄氏度,培养箱湿度为70%-80%。 |
|
冻存条件 |
冻存液:90%FBS,DMSO 10%, 或使用非程序冻存液:官网货号JY-H040 |
|
保藏机构 |
ATCC; CRL-1918 |
|
产品使用 |
仅限于科学研究,不可作为动物或人类疾病的治疗产品使用。 |


