|
细胞介绍 |
|
|
项目 |
详情 |
|
种属 |
人 |
|
组织来源 |
肺;肺腺癌 |
|
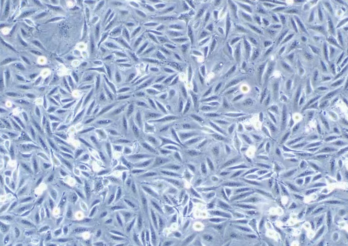
生长特征 |
上皮细胞样;贴壁生长:倍增时间~22h |
|
培养条件 |
气相:空气,95%;二氧化碳,5%。温度:37摄氏度,培养箱湿度为70%-80%。 |
|
冻存条件 |
无血清冻存液(JY-H040)或90%FBS, DMSO10%,(梯度降温) |
|
传代比例/细胞消化 |
1:2传代,消化3-5分钟 |
|
完全培养基配置 |
Ham's F-12K培养基(JY001):10%胎牛血清(JY002):1%双抗(JY004) |
|
细胞培养箱 |
二氧化碳,5%。温度:37°C |
|
传代比例 |
1:2:1:3;消化3-5分钟:0.25%胰蛋白酶(含0.02%EDTA) |
|
细胞培养瓶 |
建议用T25培养瓶;或6cm培养皿; |
|
简介 |
该细胞系由D.J.Griad通过肺癌组织移植培养建系,患者为58岁白人男性。 A549能通过胞苷二磷酸胆碱途径合成含有高含量不饱和脂肪酸的卵磷脂。 |
|
培养注意事项 |
THP-1有密度依赖性,且在偏酸性的环境中生长良好,常通过半换液的方式进行换液以及传代,可向销售索要技术文件 |
|
产品使用 |
仅限于科学研究,不可作为动物或人类疾病的治疗产品使用。 |
