|
种属 |
大鼠 |
|
别称 |
IEC 18; IEC18; Intestinal Epithelioid Cell line No. 18 |
|
组织来源 |
小肠 ;回肠 |
|
疾病 |
正常 |
|
传代比例/细胞消化 |
1:2传代 ,消化2-3分钟 |
|
完全培养基配置 |
DMEM培养基 (含NaHCO3 1.5g/L)培养基 ;10%胎牛血清 ;1%双抗 |
|
简介 |
该细胞来源于大鼠肠上皮细胞。 |
|
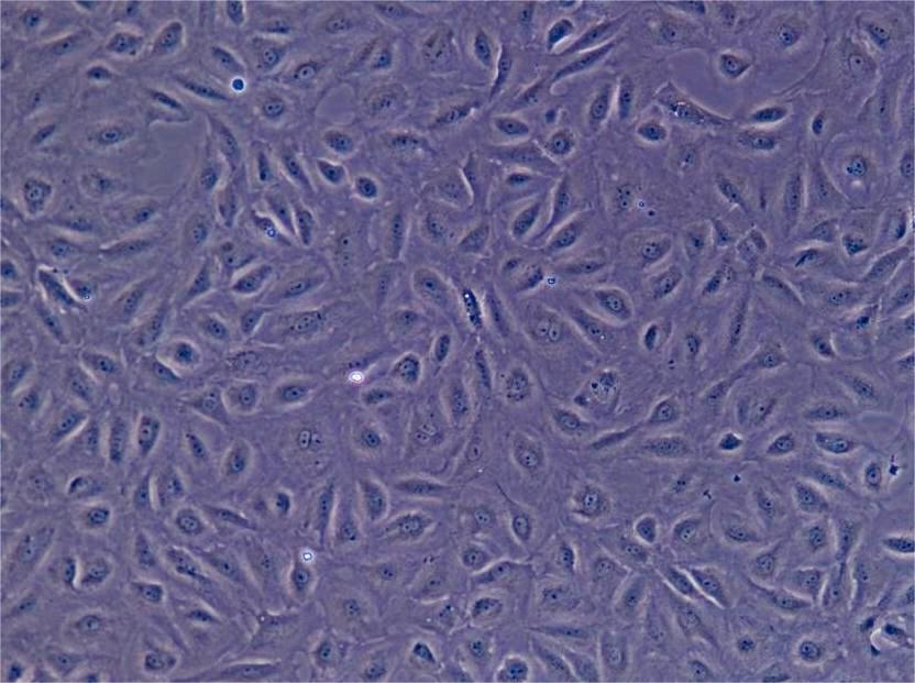
形态 |
上皮细胞样 |
|
生长特征 |
贴壁生长 |
|
倍增时间 |
每周 2 至 3 次 |
|
培养条件 |
气相 :空气 ,95% ;二氧化碳 ,5%。 温度 :37摄氏度 ,培养箱湿度为70%-80%。 |
|
冻存条件 |
冻存液 :90%FBS ,DMSO 10%, 或使用非程序冻存液 :官网货号JY-H040 |
|
保藏机构 |
ATCC; CRL-1589 |
|
产品使用 |
仅限于科学研究 ,不可作为动物或人类疾病的治疗产品使用。 |
