|
种属 |
人 |
|
别称 |
Panc-05.04; Panc_05_04; Panc05.04; Panc 5.04; Panc5.04; PANC0504; Panc0504; Pa18C; PL-18; PL18 |
|
组织来源 |
胰腺 |
|
疾病 |
胰腺导管腺癌 |
|
传代比例/细胞消化 |
1:2传代,消化3-5分钟 |
|
完全培养基配置 |
RPMI1640培养基;15%胎牛血清; 0.01mg/ml重组人胰岛素; 1%双抗 |
|
简介 |
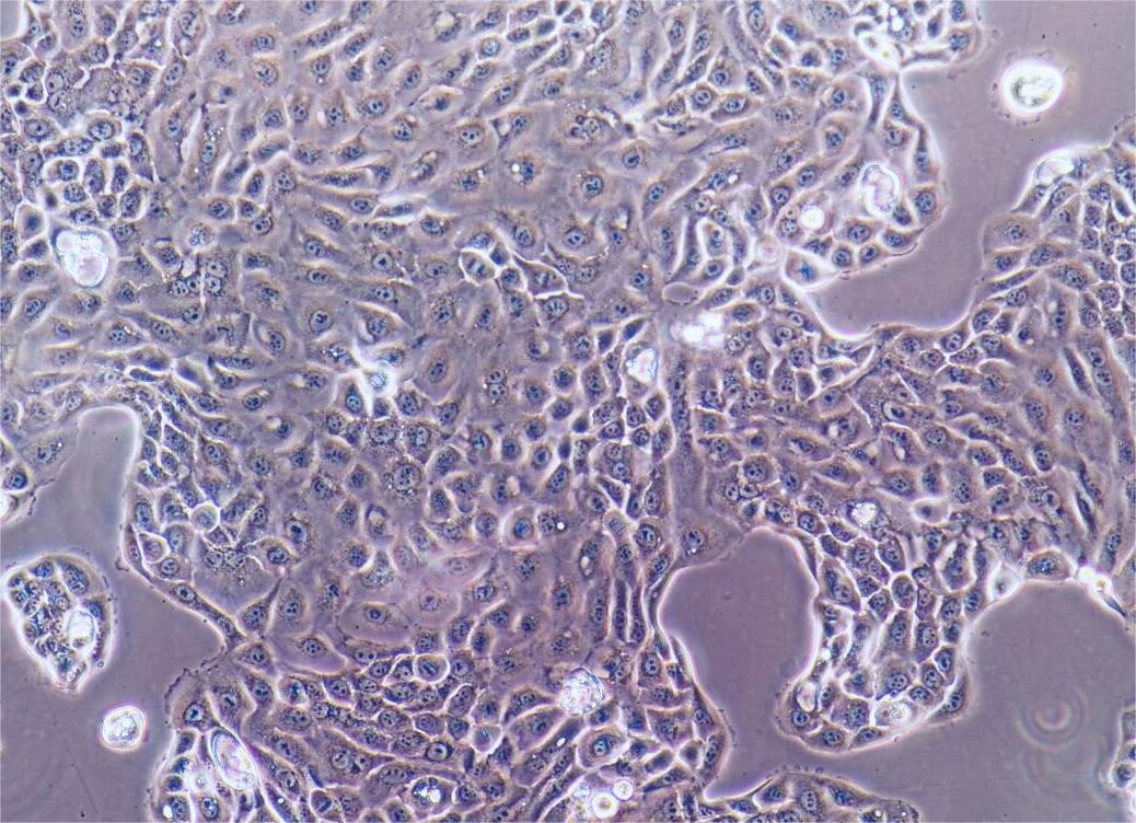
panc05.04是1995年从一名患有胰腺癌的女性胰腺头部切除的原发性肿瘤中分离出来的胰腺癌上皮细胞系。 |
|
形态 |
上皮细胞样 |
|
生长特征 |
贴壁生长 |
|
倍增时间 |
每周 2 至 3 次 |
|
基因表达 |
cytokeratin 7; cytokeratin 18; K-ras+; MHC class I+; MHC class II-; blood type B; Rh+ |
|
抗原表达 |
MHC class I +; MHC class II - Ref Blood type B; Rh+ |
|
致瘤性 |
Yes, forms tumors in nude or SCID mice |
|
STR |
Amelogenin X CSF1PO 12,13 D3S1358 14,16 D5S818 12,13 D7S820 9,12 D8S1179 11,13 D13S317 10,12 D16S539 9,11 D18S51 14 D21S11 28,33.2 FGA 19,23 Penta D 7,9 Penta E 5,18 TH01 6,9.3 TPOX 8,9 vWA 15,20 |
|
培养条件 |
气相:空气,95%;二氧化碳,5%。 温度:37摄氏度,培养箱湿度为70%-80%。 |
|
冻存条件 |
冻存液:90%FBS,DMSO 10%, 或使用非程序冻存液:官网货号JY-H040 |
|
保藏机构 |
ATCC; CRL-2557 |
|
产品使用 |
仅限于科学研究,不可作为动物或人类疾病的治疗产品使用。 |
